https://big5.sputniknews.cn/20200203/1030564429.html
中國公開感染冠狀病毒患者的肺部圖片
中國公開感染冠狀病毒患者的肺部圖片
俄羅斯衛星通訊社
中國衛生部門公開一名感染2019-NSV冠狀病毒的女性患者的肺部圖片。 2020年2月3日, 俄羅斯衛星通訊社
2020-02-03T01:42+0800
2020-02-03T01:42+0800
2022-02-15T20:18+0800
https://cdn.sputniknews.cn/i/logo/logo-social.png
俄羅斯衛星通訊社
feedback.cn@sputniknews.com
+74956456601
MIA „Rossiya Segodnya“
2020
俄羅斯衛星通訊社
feedback.cn@sputniknews.com
+74956456601
MIA „Rossiya Segodnya“
News
cn_CN
俄羅斯衛星通訊社
feedback.cn@sputniknews.com
+74956456601
MIA „Rossiya Segodnya“
俄羅斯衛星通訊社
feedback.cn@sputniknews.com
+74956456601
MIA „Rossiya Segodnya“
科技, 新型肺炎疫情
中國公開感染冠狀病毒患者的肺部圖片
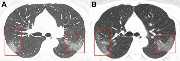
2020年2月3日, 01:42 (更新: 2022年2月15日, 20:18) 中國衛生部門公開一名感染2019-NSV冠狀病毒的女性患者的肺部圖片。
發表在《放射學》雜誌上的圖片是從一名在中國蘭州市住院的33歲女子的CT掃描圖片,她的體溫是39度。
第一張圖片顯示雙肺呈不透明的磨玻璃樣。 第二張圖片是三天後拍的,可以看到感染區正在擴大。