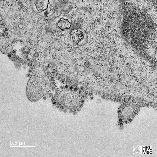
圖像顯示感染2019-nCoV冠狀病毒的細胞。
科學家表示,每一個被病毒感染的細胞都能夠產生數千個新病毒顆粒的載體。
參與病毒研究的其中一位研究人員約翰·尼科爾斯表示,學校已準備好將研究結果提供給其他無法獲得該病毒毒株的科學家。
此前,俄羅斯確診2例新型冠狀病毒感染病例,俄政府已採取措施防止擴散。早前曾決定從武漢市和湖北省撤離俄羅斯公民,當地可能共計有650名俄公民。

圖像顯示感染2019-nCoV冠狀病毒的細胞。
科學家表示,每一個被病毒感染的細胞都能夠產生數千個新病毒顆粒的載體。
參與病毒研究的其中一位研究人員約翰·尼科爾斯表示,學校已準備好將研究結果提供給其他無法獲得該病毒毒株的科學家。
此前,俄羅斯確診2例新型冠狀病毒感染病例,俄政府已採取措施防止擴散。早前曾決定從武漢市和湖北省撤離俄羅斯公民,當地可能共計有650名俄公民。